指を挟んで怪我した方の初回対応と施術 大鳥居にある整骨院
2026/04/29
こんにちは、大田区東糀谷の大鳥居駅東口より徒歩2分の場所にある髙山整骨院の髙山です。
今回は重量物を指に挟んで怪我した方の初回対応と施術を紹介していきます。
50代男性、重量物を左手指に挟んで怪我した。
受傷後5時間ほど経過して来院されました。
外見は傷もあり、傷の部分は水洗いにてキレイにしてあり、左第1、4、5指に腫脹(腫れ)と皮下出血がありました。
特に第4指は屈曲30度程しか曲げられず、一番痛みがあるとのことでした。
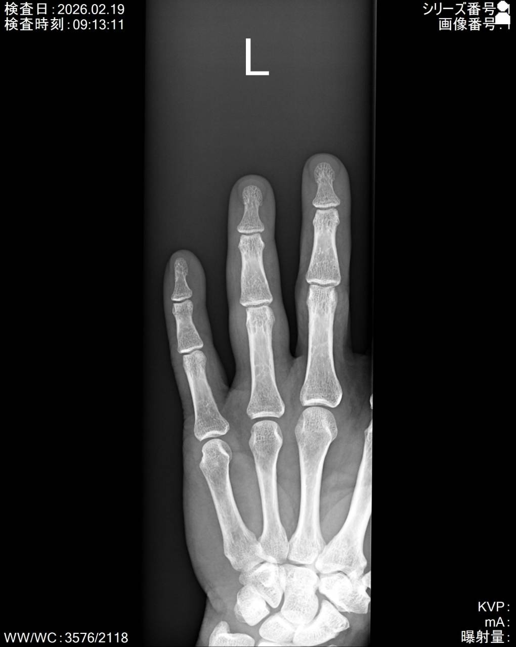
第4指の圧痛は基節骨骨頭と中節骨基部にあり、骨折の疑いもあったので超音波観察装置(エコー)にて確認を行いました。
エコーで画像を確認すると中節骨基部に骨折線があり骨折の疑いがあったので当整骨院が提携している病院にてレントゲン検査を依頼し、撮影した画像を確認すると左第4指中節骨基部に骨折が確認できたので骨折として施術を行っていきます。
施術は骨折の骨の修復を優先的に行っていくので、微弱電流にて骨の組織修復を行い、固定はアルミシーネにて固定を行いました。
この方はスポーツもやられている方なので早期に復帰できるように施術計画を立て施術を進めていきます。
当整骨院は肩こり、腰痛、首痛などの慢性的なお体のお悩みや、スポーツやプライベートでの怪我の骨折、脱臼、捻挫、打撲、挫傷(肉離れ)にも対応しています。
スポーツパフォーマンスの向上のための施術や怪我予防も行っています。
猫背、巻き肩、胸椎後弯、反り腰などの姿勢改善も行ったり、女性の骨盤の出っ張りなどの体型修正も行っています。
また、産前産後の整体を行う資格も持っており産前産後専門院でもあるので、産前産後のお体のお悩みのある方もお気軽相談してください!
エステメニューもあり、筋肉・脂肪を柔らかくし、脂肪燃焼を行ったり、小顔矯正やリフトアップもおこないます!
プロラボ商品もあり院内で購入できます!
お体のお悩みがある方はご相談、お問い合わせください!
髙山整骨院
東京都大田区東糀谷3-3-17 グランシャリオ羽田1階
平日8:30~12:00 15:00~19:30
土曜日8:30~15:00
定休日 日・祝日
*日曜日や祝日に営業する場合はGoogleにて更新をしていますのでご確認ください!
*時間外の施術はお電話にて予約していただけると幸いです。
----------------------------------------------------------------------
髙山整骨院
〒144-0033
東京都大田区東糀谷3-3-17 グランシャリオ羽田102
電話番号 : 03-6423-7996
FAX番号 : 03-6423-7996
大田区での怪我に専門的に対応
スポーツへの復帰を大田区で支援
丁寧なマッサージを大田区で
----------------------------------------------------------------------

