スポーツ中に足の怪我した方の初回対応と施術 大鳥居にある整骨院
2026/04/22
こんにちは、大田区東糀谷の大鳥居駅東口より徒歩2分の場所にある髙山整骨院の髙山です。
今回はスポーツ中に足の怪我をされた方の初回対応と施術について紹介していきます。
40代女性剣道をやっていて態勢を崩して倒れた際に右足を捻って怪我した。
直後は痛くて動けずで、時間が少し経って跛行(引きずりながら歩く)をしながら歩けるとのことで、翌日当整骨院に来院されました。
外見は腫脹(腫れ)がかなり出現していて、皮下出血も少し出現していました。
距骨の亜脱臼は若干あり派手に出現している感じではないですが、これが動きや痛み等の機能障害に繋がるので整復しました。
圧痛も筋肉や靭帯ではなく骨に強く出現していて、腓骨の先端付近にありました。
前距腓靭帯付着部の腓骨とその上1cmくらいの部分の圧痛も強く出ました。
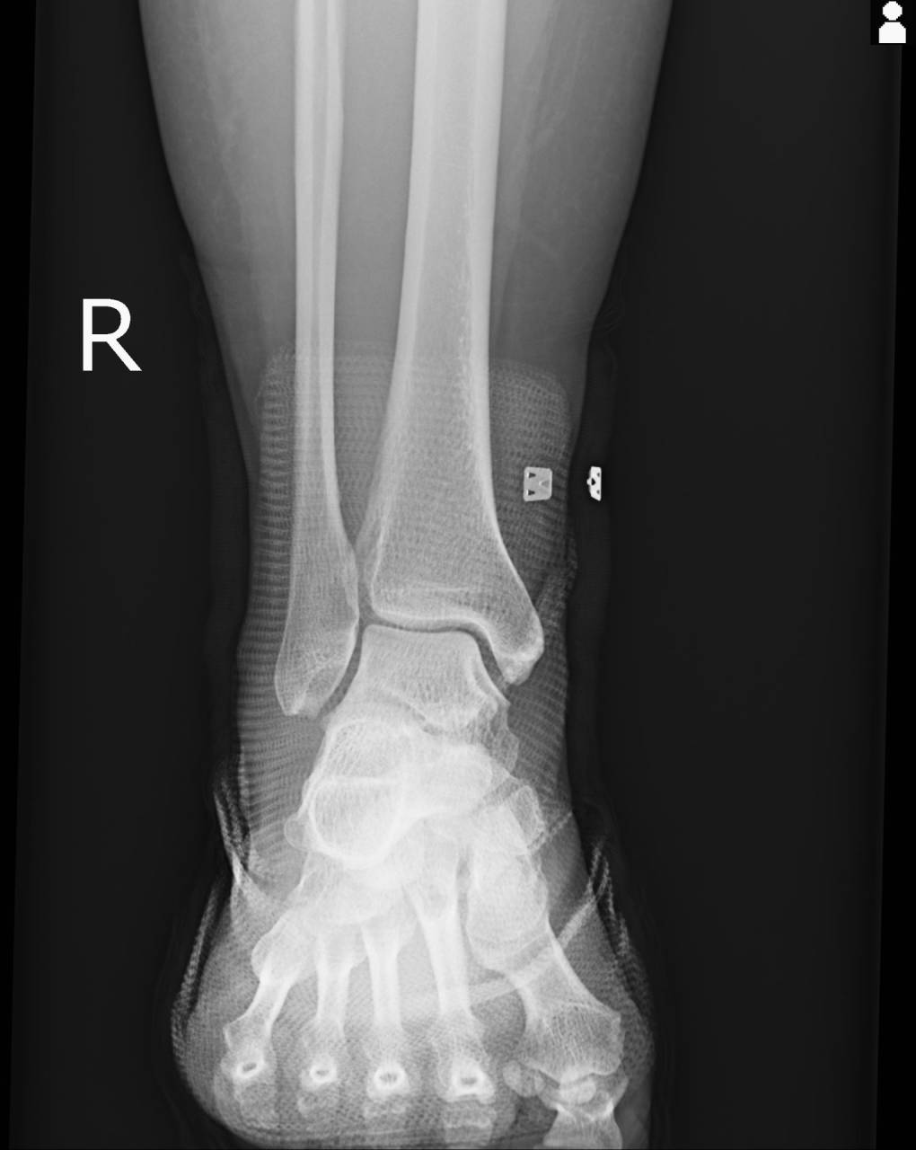
骨折の疑いがあったので超音波観察装置(エコー)にて確認を行っていきました。
先程触診にて圧痛のあった前距腓靭帯付着部の腓骨部に骨が裂離している画像が出ました。
前距腓靭帯付着部の腓骨部より1cm上の部分はエコー画像では鮮明には映りませんでした。
骨折の疑いがあったので当整骨院が提携している病院にてレントゲン検査を依頼し、撮影した画像を確認すると触診で圧痛のあった前距腓靭帯付着部の腓骨部とエコー画像では鮮明でなかった前距腓靭帯付着部の腓骨部より1cm上の部分に骨折があったとのことで骨折として施術を進めていきます。
施術は距骨の亜脱臼は整復されているので初期は微弱電流にて骨の組織修復を優先的に行っていきます!
さらに固定強度も徐々に軽くしていき早期回復、復帰を目指していきます!
お怪我でお困りの方はぜひご相談ください!
当整骨院は肩こり、腰痛、首痛などの慢性的なお体のお悩みや、スポーツやプライベートでの怪我の骨折、脱臼、捻挫、打撲、挫傷(肉離れ)にも対応しています。
スポーツパフォーマンスの向上のための施術や怪我予防も行っています。
猫背、巻き肩、胸椎後弯、反り腰などの姿勢改善も行ったり、女性の骨盤の出っ張りなどの体型修正も行っています。
また、産前産後の整体を行う資格も持っており産前産後専門院でもあるので、産前産後のお体のお悩みのある方もお気軽相談してください!
エステメニューもあり、筋肉・脂肪を柔らかくし、脂肪燃焼を行ったり、小顔矯正やリフトアップもおこないます!
プロラボ商品もあり院内で購入できます!
お体のお悩みがある方はご相談、お問い合わせください!
髙山整骨院
東京都大田区東糀谷3-3-17 グランシャリオ羽田1階
平日8:30~12:00 15:00~19:30
土曜日8:30~15:00
定休日 日・祝日
*日曜日や祝日に営業する場合はGoogleにて更新をしていますのでご確認ください!
*時間外の施術はお電話にて予約していただけると幸いです。
----------------------------------------------------------------------
髙山整骨院
〒144-0033
東京都大田区東糀谷3-3-17 グランシャリオ羽田102
電話番号 : 03-6423-7996
FAX番号 : 03-6423-7996
大田区での怪我に専門的に対応
スポーツへの復帰を大田区で支援
丁寧なマッサージを大田区で
----------------------------------------------------------------------


