自宅の階段から落ちて怪我した学生の初回対応と施術 大鳥居にある整骨院
2025/08/13
こんにちは、大田区東糀谷の大鳥居駅東口より徒歩2分の場所にある髙山整骨院の髙山です。
今回は自宅の階段から落ちて怪我した学生の初回対応と施術を紹介していきます。
今回の症例のポイントとして、負傷して翌日当整骨院に来院されて、その時に痛みを本人に確認すると「少し痛い」としか言わなかったことから軽傷と決めつけてしまう恐れのあるケースなので、そのあたりの状況を細かく書いていきます。
小学2年生男子、自宅の階段から落ちた際に右足を負傷。
足がどうなったかは覚えていない。
受傷して翌日当整骨院に来院され、その時は軽度の跛行で来院。
痛みは足関節部外側が痛いとのことで、外見上は外果(外くるぶし)が腫脹があり、皮下出血はありませんでした(翌日2回目来院した際に皮下出血は出現しました)。
距腿関節の可動性にも制限があり外果前方に独特の腫れがあり、距骨の亜脱臼がある状態でした。
触診をしていくと外果部に圧痛があり、靭帯部の痛みはありませんでした。
外果部の圧痛はピンポイントで押すとかなり痛がりました。
骨の痛みがあるので骨折の疑いがこの段階であります。
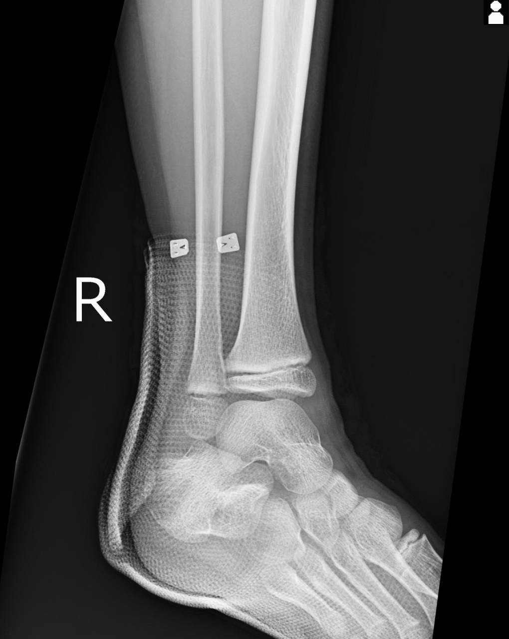
超音波観察装置(エコー)にて組織の状態を確認していくと、腓骨先端の骨端線周囲に骨折の徴候があり、エコー画像での検査で骨折の可能性が濃厚になったため、当整骨院が提携している病院にてレントゲン検査を依頼しました。
撮影した画像を確認すると触診時に疼痛があった部位とエコーにて骨折の疑いがあった部位とレントゲン画像が一致したため、腓骨の先端の骨折として進めていきます。
施術は距骨の亜脱臼の整復を行った後に微弱電流にて骨の組織修復を行いました。
固定はキャストにて固定を行いました。
それから施術を続けていますが腫れの引きや皮下出血の引きが早く順調に回復しています。
1週間経過時で本人は痛みを訴えてませんが、それをそのまま聞き入れて固定を外すと悪くなる可能性が高いので注意が必要です!
お怪我でお困りの方はぜひご相談ください!!
当整骨院は肩こり、腰痛、首痛などの慢性的なお体のお悩みや、スポーツやプライベートでの怪我の骨折、脱臼、捻挫、打撲、挫傷(肉離れ)にも対応しています。
スポーツパフォーマンスの向上のための施術や怪我予防も行っています。
猫背、巻き肩、胸椎後弯、反り腰などの姿勢改善も行ったり、女性の骨盤の出っ張りなどの体型修正も行っています。
また、産前産後の整体を行う資格も持っており産前産後専門院でもあるので、産前産後のお体のお悩みのある方もお気軽相談してください!
エステメニューもあり、筋肉・脂肪を柔らかくし、脂肪燃焼を行ったり、小顔矯正やリフトアップもおこないます!
プロラボ商品もあり院内で購入できます!
お体のお悩みがある方はご相談、お問い合わせください!
髙山整骨院
東京都大田区東糀谷3-3-17 グランシャリオ羽田1階
平日8:30~12:00 15:00~19:30
土曜日8:30~15:00
定休日 日・祝日
*日曜日や祝日に営業する場合はGoogleにて更新をしていますのでご確認ください!
*時間外の施術はお電話にて予約していただけると幸いです。
----------------------------------------------------------------------
髙山整骨院
〒144-0033
東京都大田区東糀谷3-3-17 グランシャリオ羽田102
電話番号 : 03-6423-7996
FAX番号 : 03-6423-7996
大田区での怪我に専門的に対応
スポーツへの復帰を大田区で支援
丁寧なマッサージを大田区で
----------------------------------------------------------------------


