登山をしていて足の怪我をした方の施術 大鳥居にある整骨院
2025/08/20
こんにちは、大田区東糀谷の大鳥居駅東口より徒歩2分の場所にある髙山整骨院の髙山です。
今回は登山をしていて足を滑らせて怪我した方の施術を紹介していきます。
50代女性、山を下山中に右足を滑らせて転んだ時に右足を捻って負傷。
痛みはあったが山を下りなければいけなかったので、そのまま下山したとのこと。
受傷して2日後に当整骨院に来院されました。
外見を確認すると右足関節部周囲に腫脹、皮下出血がかなり出現していて、跛行をしながら歩いて来ました。
触診をしていくと距腿関節の可動性は底屈・背屈ともに痛みがあり低下しており、圧痛は外果部を押すとかなり痛がります。
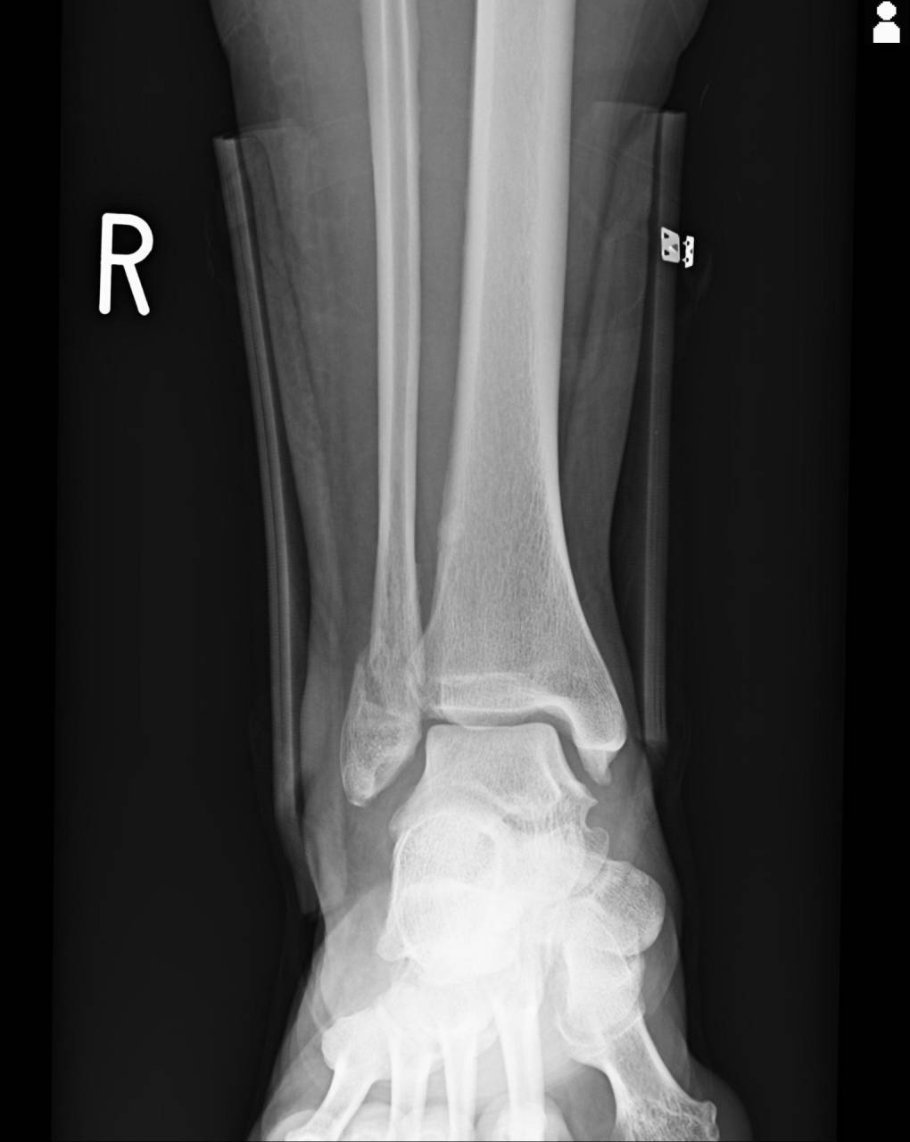
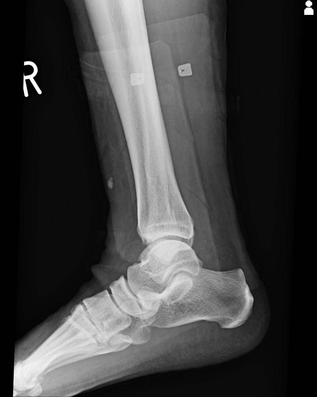
超音波観察装置(エコー)にて組織の確認を行うと圧痛が1番あった外果部に骨折を示す骨の不連続性があり、さらに若干の骨折部の転位があることが分かりました。
実際に骨折部を触診すると骨のぐずぐず動いてる感覚が手に伝わってきます。
骨折の疑いが強いため、当整骨院が提携している病院にてレントゲン検査を依頼しました。
撮影した画像を確認すると外果部にエコーと徒手検査で怪しかった部位に骨折があり、若干の転位もありました。
腓骨の外果骨折として施術を進めていきます。
施術は転位している骨を整復することから始め、固定もキャスト(ギプス)で行いましたが、腓骨自体の転位を起こさないように一工夫して固定をしました。
さらに骨の組織回復を早めるために微弱電流にて骨の組織修復を行います。
転位のあるタイプの骨折の症例でしたが、包帯の巻き替え時に骨折部の触診を行うとぐずぐず動いていたものは約10日ほどで動かなくなり経過良好です!
お怪我でお困りの方はぜひ相談ください!!
当整骨院は肩こり、腰痛、首痛などの慢性的なお体のお悩みや、スポーツやプライベートでの怪我の骨折、脱臼、捻挫、打撲、挫傷(肉離れ)にも対応しています。
スポーツパフォーマンスの向上のための施術や怪我予防も行っています。
猫背、巻き肩、胸椎後弯、反り腰などの姿勢改善も行ったり、女性の骨盤の出っ張りなどの体型修正も行っています。
また、産前産後の整体を行う資格も持っており産前産後専門院でもあるので、産前産後のお体のお悩みのある方もお気軽相談してください!
エステメニューもあり、筋肉・脂肪を柔らかくし、脂肪燃焼を行ったり、小顔矯正やリフトアップもおこないます!
プロラボ商品もあり院内で購入できます!
お体のお悩みがある方はご相談、お問い合わせください!
髙山整骨院
東京都大田区東糀谷3-3-17 グランシャリオ羽田1階
平日8:30~12:00 15:00~19:30
土曜日8:30~15:00
定休日 日・祝日
*日曜日や祝日に営業する場合はGoogleにて更新をしていますのでご確認ください!
*時間外の施術はお電話にて予約していただけると幸いです。
----------------------------------------------------------------------
髙山整骨院
〒144-0033
東京都大田区東糀谷3-3-17 グランシャリオ羽田102
電話番号 : 03-6423-7996
FAX番号 : 03-6423-7996
大田区での怪我に専門的に対応
スポーツへの復帰を大田区で支援
丁寧なマッサージを大田区で
----------------------------------------------------------------------


