学校の休み時間にバスケットボールで遊んでいて怪我した学生の初回対応と施術 大鳥居にある整骨院
2025/08/06
こんにちは、大田区東糀谷の大鳥居駅東口より徒歩2分の場所にある髙山整骨院の髙山です。
今回は学校の休み時間にバスケットボールをやっていて怪我した学生の症例の紹介をしていきます。
小学6年生男子、バスケットボールで遊んでいてパスを受けようとしたらキャッチミスをして左薬指(左第4指)に突き指した形で怪我をした。
学校が終わって当整骨院に来院されました。
外見上は腫脹があり、PIP関節付近が変形していました。
左第4指のPIP関節は20度程しか屈曲ができず、伸展も10度程しかできないとのことでした。
圧痛は中節骨基部にあり、外見上の変形している位置と同じ部位にあります。
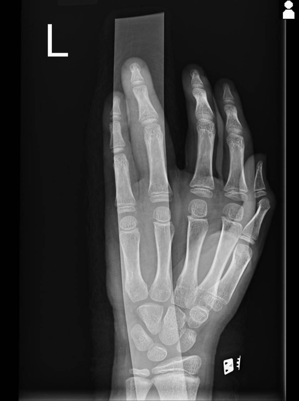
骨折が疑われたので超音波観察装置(エコー)にて組織の確認を行いました。
エコーで確認をすると骨の不連続性が確認でき、骨折の可能性が高くなったので当整骨院が提携している病院にてレントゲン検査を依頼しました。
撮影した画像を確認すると中節骨基部に骨折が確認でき、骨折として施術をしていきます。
施術はまず変形してい部位の整復を行い、その後アルミシーネ、厚紙副子等で牽引固定を行い、その上から微弱電流にて骨の組織修復を行いながら回復させていきます。
翌日来院時に指の確認をすると皮下出血も出現しました。
腫れは順調に引いていき、変形も綺麗に回復しました。
お怪我でお困りの方はぜひご相談ください!!
当整骨院は肩こり、腰痛、首痛などの慢性的なお体のお悩みや、スポーツやプライベートでの怪我の骨折、脱臼、捻挫、打撲、挫傷(肉離れ)にも対応しています。
スポーツパフォーマンスの向上のための施術や怪我予防も行っています。
猫背、巻き肩、胸椎後弯、反り腰などの姿勢改善も行ったり、女性の骨盤の出っ張りなどの体型修正も行っています。
また、産前産後の整体を行う資格も持っており産前産後専門院でもあるので、産前産後のお体のお悩みのある方もお気軽相談してください!
エステメニューもあり、筋肉・脂肪を柔らかくし、脂肪燃焼を行ったり、小顔矯正やリフトアップもおこないます!
プロラボ商品もあり院内で購入できます!
お体のお悩みがある方はご相談、お問い合わせください!
髙山整骨院
東京都大田区東糀谷3-3-17 グランシャリオ羽田1階
平日8:30~12:00 15:00~19:30
土曜日8:30~15:00
定休日 日・祝日
*日曜日や祝日に営業する場合はGoogleにて更新をしていますのでご確認ください!
*時間外の施術はお電話にて予約していただけると幸いです。
----------------------------------------------------------------------
髙山整骨院
〒144-0033
東京都大田区東糀谷3-3-17 グランシャリオ羽田102
電話番号 : 03-6423-7996
FAX番号 : 03-6423-7996
大田区での怪我に専門的に対応
スポーツへの復帰を大田区で支援
丁寧なマッサージを大田区で
----------------------------------------------------------------------


