階段から落ちて足を捻って怪我した学生の初回対応と施術 大鳥居にある整骨院
2025/10/01
こんにちは、大田区東糀谷の大鳥居駅東口より徒歩2分の場所にある髙山整骨院の髙山です。
今回は階段から落ちて足を捻って怪我した学生の施術と初回対応について書いていきます!
ポイントとして受傷後すぐに来院してくれたので腫れの状態などが分かりやすく、アイシングをしていないので受傷からの経過が分かりやすく判定をするのには良い状態だったということです。
小学6年生男子、習い事の帰りで階段から落ちて左足を捻って怪我をした。
受傷後すぐに当整骨院に来院されました。
来院時は跛行(引きずって歩く)をしながら歩いていて、痛みが強く普通には歩けないとのことでした。
外見上は左距腿関節周辺にかなり腫脹(腫れ)があり、皮下出血はこの時点では出現していませんでした(皮下出血は翌日に少し出現していて、受傷3日目には青く出現していました)。
距腿関節の可動性を確認していくと底屈・背屈ともに健側と比較すると減少傾向にあり、圧痛は腓骨骨端線部周囲と脛骨下部骨端線周囲に痛みがありました。
距腿関節部の動きから距骨の亜脱臼があることが分かり、実際に亜脱臼を整復後に距腿関節の特に背屈動作は健側と同域まで動かすことができました。
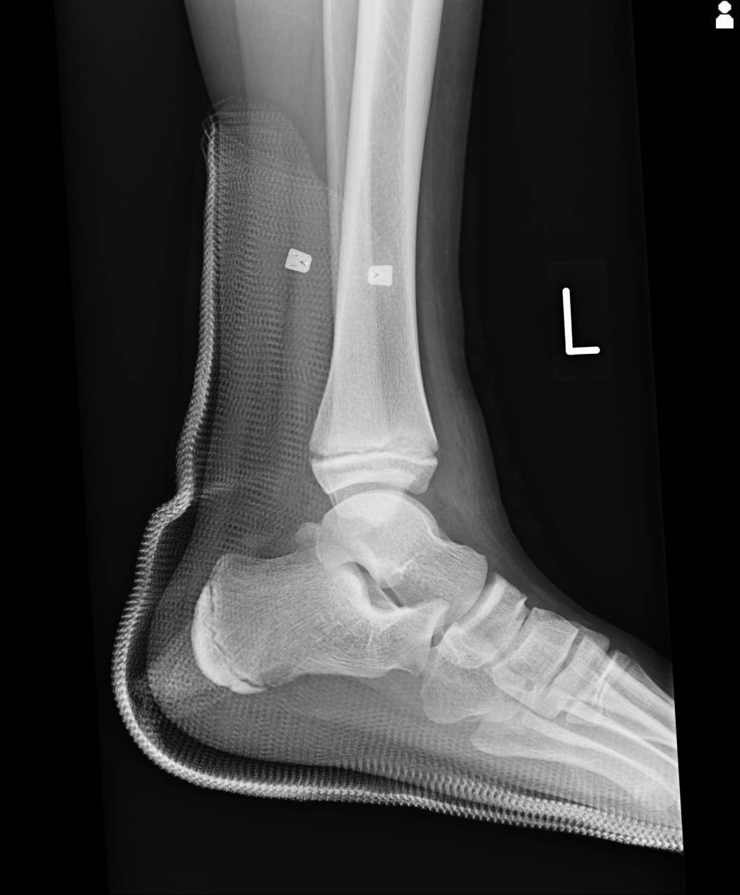
痛みが骨組織にあることから骨折の疑いが濃厚だったため、超音波観察装置(エコー)にて組織の損度合いの確認を行った所、圧痛のあった部位に骨折線があったので当整骨院が提携している病院にてレントゲン検査を依頼しました。
撮影した画像を確認すると腓骨骨端線部と脛骨骨端線部周囲部に骨折が認められ骨折として施術をしていきます。
施術はレントゲン撮影前に距骨亜脱臼を整復していて、亜脱臼はキレイに整復されていて、骨折部には微弱電流にて骨の組織修復を行います。
その後キャスト(ギプス)固定と厚紙副子にて固定を行いました。
受傷直後に来院したので腫れの出方等など経時的変化が追えたので正確な判定ができたと考えます!
また正確な判定ができなければ施術の方向性なども違ってくるので判定は重要な項目になってくると考えます!
お怪我でお困りの方はご相談ください!!
当整骨院は肩こり、腰痛、首痛などの慢性的なお体のお悩みや、スポーツやプライベートでの怪我の骨折、脱臼、捻挫、打撲、挫傷(肉離れ)にも対応しています。
スポーツパフォーマンスの向上のための施術や怪我予防も行っています。
猫背、巻き肩、胸椎後弯、反り腰などの姿勢改善も行ったり、女性の骨盤の出っ張りなどの体型修正も行っています。
また、産前産後の整体を行う資格も持っており産前産後専門院でもあるので、産前産後のお体のお悩みのある方もお気軽相談してください!
エステメニューもあり、筋肉・脂肪を柔らかくし、脂肪燃焼を行ったり、小顔矯正やリフトアップもおこないます!
プロラボ商品もあり院内で購入できます!
お体のお悩みがある方はご相談、お問い合わせください!
髙山整骨院
東京都大田区東糀谷3-3-17 グランシャリオ羽田1階
平日8:30~12:00 15:00~19:30
土曜日8:30~15:00
定休日 日・祝日
*日曜日や祝日に営業する場合はGoogleにて更新をしていますのでご確認ください!
*時間外の施術はお電話にて予約していただけると幸いです。
----------------------------------------------------------------------
髙山整骨院
〒144-0033
東京都大田区東糀谷3-3-17 グランシャリオ羽田102
電話番号 : 03-6423-7996
FAX番号 : 03-6423-7996
大田区での怪我に専門的に対応
スポーツへの復帰を大田区で支援
丁寧なマッサージを大田区で
----------------------------------------------------------------------


