踵をぶつけて怪我した方の初回対応と施術 大鳥居にある整骨院
2025/09/24
こんにちは、大田区東糀谷の大鳥居駅東口より徒歩2分の場所にある髙山整骨院の髙山です。
今回は踵をぶつけて怪我した方の施術の紹介をしていきます。
今回の症例のケースのポイントとして外見上の状態と歩行時の痛みのギャップがあることです。
30代女性、自宅のシューズボックスに素足のまま右踵をぶつけて負傷。
翌日当整骨院に来院されましたが、その時の状態は跛行をして来院されました。
足をつくと痛みがかなりあるとのことで引きずって歩いています。
外見上は腫脹(腫れ)があり、皮下出血は出現していませんでした。
皮下出血4日後に確認した際に出現していました。
距腿関節部の底屈・背屈動作でも痛みがあり、圧痛は踵骨骨体部にはなく、踵骨隆起をピンポイントで押すと痛みが強く出現します。
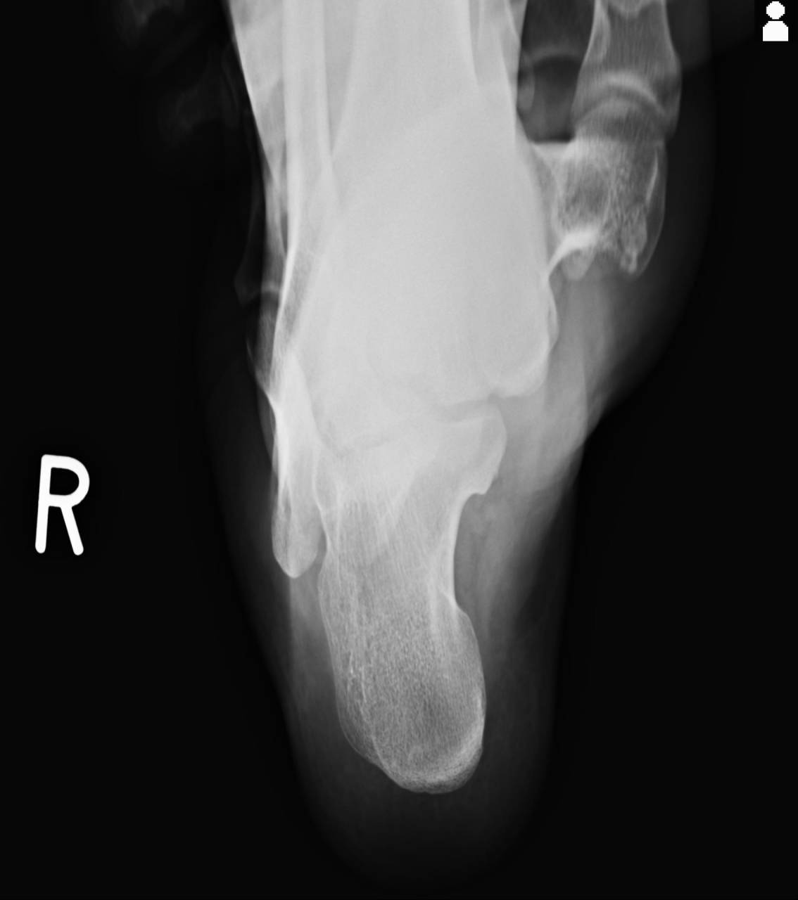
超音波観察装置(エコー)にて組織確認を行うと、圧痛があった踵骨隆起部を健側と比較するとアキレス腱付着部の不連続性と裂離のような画像が映り、健側よりもはがれているように映りました。
骨折の疑いがあったため当整骨院が提携している病院にてレントゲン検査を依頼し、撮影した画像を確認すると徒手検査、エコーで確認した部位に骨折線が確認できました。
レントゲン画像で見るとそこまで大した変化が無いように見えますが、エコーにて拡大された組織を細かくチェックすると健側との差が明確に分かることから骨折の判定も難しいケースだと考えます。
実際に歩行痛がかなり強く、細かい検査を行っていき正確に判定することは施術の方向性が大きく変わるので重要になってきます。
施術は微弱電流にて骨の組織修復を行い、固定はキャスト(ギプス)固定を行いました。
固定後は痛みが無いとのことですが、長時間の立位や歩行は痛みが増幅するので注意が必要になってきます。
損度合いを診る組織判定で例えば捻挫なのか、骨折なのかという判定はとても重要で判定次第ではその後の治療計画も変わり、痛みや不調が長引く可能性が大きいため正確な判定は重要になってきます。
当整骨院は肩こり、腰痛、首痛などの慢性的なお体のお悩みや、スポーツやプライベートでの怪我の骨折、脱臼、捻挫、打撲、挫傷(肉離れ)にも対応しています。
スポーツパフォーマンスの向上のための施術や怪我予防も行っています。
猫背、巻き肩、胸椎後弯、反り腰などの姿勢改善も行ったり、女性の骨盤の出っ張りなどの体型修正も行っています。
また、産前産後の整体を行う資格も持っており産前産後専門院でもあるので、産前産後のお体のお悩みのある方もお気軽相談してください!
エステメニューもあり、筋肉・脂肪を柔らかくし、脂肪燃焼を行ったり、小顔矯正やリフトアップもおこないます!
プロラボ商品もあり院内で購入できます!
お体のお悩みがある方はご相談、お問い合わせください!
髙山整骨院
東京都大田区東糀谷3-3-17 グランシャリオ羽田1階
平日8:30~12:00 15:00~19:30
土曜日8:30~15:00
定休日 日・祝日
*日曜日や祝日に営業する場合はGoogleにて更新をしていますのでご確認ください!
*時間外の施術はお電話にて予約していただけると幸いです。
----------------------------------------------------------------------
髙山整骨院
〒144-0033
東京都大田区東糀谷3-3-17 グランシャリオ羽田102
電話番号 : 03-6423-7996
FAX番号 : 03-6423-7996
大田区での怪我に専門的に対応
スポーツへの復帰を大田区で支援
丁寧なマッサージを大田区で
----------------------------------------------------------------------


