階段で踏み外して足の骨折した方の施術 大鳥居にある整骨院
2025/06/25
こんにちは、大田区東糀谷の大鳥居駅東口より徒歩2分の場所にある髙山整骨院の髙山です。
今回は買い物をしていて足を踏み外して怪我された方の初回対応と施術や判断をどうしたかを紹介していきます。
今回のケースのポイントとして受傷して2時間後に来てもらい、軽度の跛行(引きずって歩く)をしていましたが皮下出血が出ていないことがポイントになります。
50代女性、買い物をしていて階段を下っていて1段踏み外して右足を捻り負傷した方になります。
負傷した時は痛みがそこまで無かったとのことで、家に帰った後、腫れがあり気になっていたのですぐ当整骨院に来院されました。
来院時は軽度の跛行をしていましたが、痛みは少しあるとのことでした。
外見は足の甲が満遍なく腫れていて、皮下出血はありませんでした。
受傷直後はグレードの高い損傷でも皮下出血が出てこないケースがほとんどなので、そのことを頭に入れて判定していく必要があります。
実際にこの方は受傷から2日後に皮下出血が出現してきました。
距腿関節の動きは左右差が無く、ショパール関節、リスフラン関節は制限がありました(触れたら痛い部位もあります)。
実際に痛い部位もピンポイントではなく、広い範囲で痛みがあったので圧痛を確認しながら絞っていきます。
圧痛は踵骨前方突起、舟状骨、立方骨にあり、1番疼痛が強いのは踵骨前方突起で舟状骨の部位は腫脹がピンポン玉のような形状で腫れていました。
骨折の疑いもあったので超音波観察装置(エコー)にて画像撮影を行いました。
エコー画像を確認すると、踵骨前方突起部と立方骨に骨損傷があり、骨折の疑いがありました。
舟状骨はエコー上では骨損傷の確認ができませんでした。
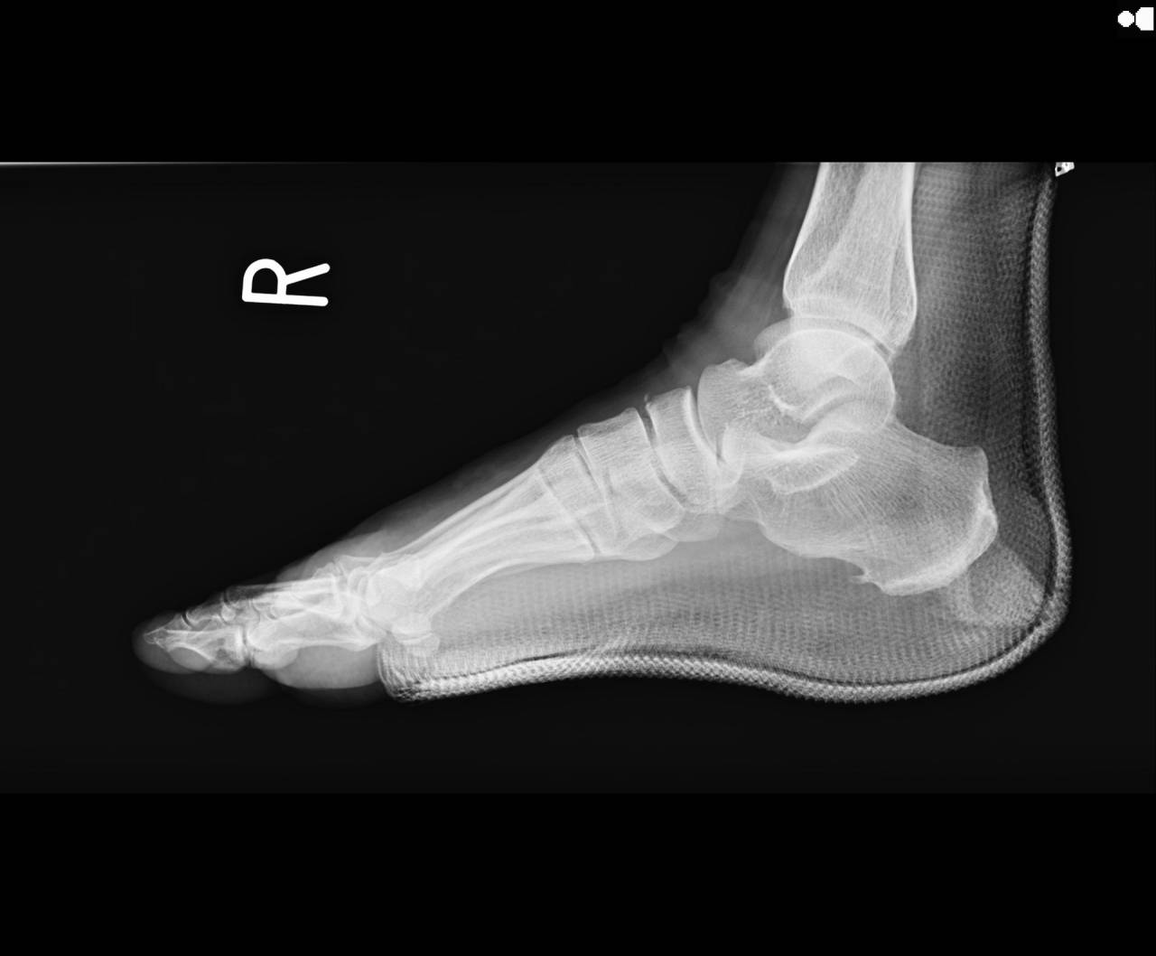
骨折の疑いがあったので当整骨院が提携している病院にてレントゲン検査をしてもらいました。
撮影した画像を確認すると踵骨前方突起、舟状骨に骨折が確認され、立方骨も骨損傷があるとのことでした。
骨折として施術を進めていきます。
施術は関節のアライメント調整を行った後、微弱電流にて骨の組織修復を行いました。
固定は下腿下1/3から足趾手前までキャスト(ギプス)と厚紙副子にて固定を行いました。
経過に沿って固定材料を変更していきます。
エコーで骨の損傷程度の確認を随時行っていきます。
お怪我でお悩みの方は是非ご相談を!!
当整骨院は肩こり、腰痛、首痛などの慢性的なお体のお悩みや、スポーツやプライベートでの怪我の骨折、脱臼、捻挫、打撲、挫傷(肉離れ)にも対応しています。
スポーツパフォーマンスの向上のための施術や怪我予防も行っています。
猫背、巻き肩、胸椎後弯、反り腰などの姿勢改善も行ったり、女性の骨盤の出っ張りなどの体型修正も行っています。
また、産前産後の整体を行う資格も持っており産前産後専門院でもあるので、産前産後のお体のお悩みのある方もお気軽相談してください!
エステメニューもあり、筋肉・脂肪を柔らかくし、脂肪燃焼を行ったり、小顔矯正やリフトアップもおこないます!
プロラボ商品もあり院内で購入できます!
お体のお悩みがある方はご相談、お問い合わせください!
髙山整骨院
東京都大田区東糀谷3-3-17 グランシャリオ羽田1階
平日8:30~12:00 15:00~19:30
土曜日8:30~15:00
定休日 日・祝日
*日曜日や祝日に営業する場合はGoogleにて更新をしていますのでご確認ください!
*時間外の施術はお電話にて予約していただけると幸いです。
----------------------------------------------------------------------
髙山整骨院
〒144-0033
東京都大田区東糀谷3-3-17 グランシャリオ羽田102
電話番号 : 03-6423-7996
FAX番号 : 03-6423-7996
大田区での怪我に専門的に対応
スポーツへの復帰を大田区で支援
丁寧なマッサージを大田区で
----------------------------------------------------------------------


