バスケットボールの練習中に怪我した中学生の初回対応と施術 大鳥居にある整骨院
2025/06/18
こんにちは、大田区東糀谷の大鳥居駅東口より徒歩2分の場所にある髙山整骨院の髙山です。
今回はバスケットボールの練習中に怪我した中学生の初回対応と施術を紹介していきます。
今回のケースのポイントとして受傷して1日経過してから来院され、軽度の跛行をしながらやってきたケースになります。
中学3年生男子、バスケットボールの練習中にシュートを打つ際にジャンプした後着地に失敗して右足を捻り負傷。
その後、跛行して帰宅をして、翌日当整骨院に来院されました。
来院時も跛行していて、痛みが強く普通に歩けないとのこと。
検査をしていくと右足関節を底屈や背屈すると痛みがかなりあるとのことで、特に背屈は5度程しか動かすことができず、その際に脛骨の下脛腓靭帯付着部(AITFL)の痛みがあり靭帯損傷の痛みではなく骨の痛みのような感じです。
腫脹も脛骨AITFL腓骨付着部周辺にあり、圧痛も同部位に限局してあります。
足関節の可動性から距骨の亜脱臼があると考えました。
脛骨AITFL腓骨付着部周辺に亜脱臼した時の独特の腫脹があるのもポイントになってきます。
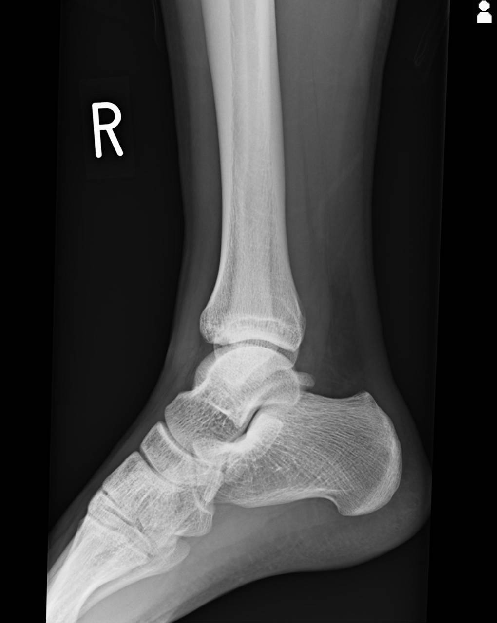
超音波観察装置(エコー)で確認を行っていくと、脛骨AITFL腓骨付着部に骨折線が確認でき、外果にも骨折線が確認できました。
骨折が疑われるので当整骨院が提携している病院にてレントゲン検査を依頼しました。
撮影した画像を確認すると脛骨AITFL腓骨付着部のチロー骨折と外果にも骨損傷があり骨折として施術をしていきます。
チロー骨折は不完全に治すと関節障害につながる可能性が高いので、注意が必要になってきます。
距骨の亜脱臼は整復されているのも確認でき、足関節の可動性も上がり健側の左と比較しても左右差が減り20度まで背屈可能になりました。
施術は微弱電流にて骨の組織修復を行い、固定はキャスト(ギプス)にて固定を行いました。
骨のダメージのグレードとエコーで経過観察を行っていき、早期にバスケットボールの競技復帰できるように計画して施術を行っていきます。
怪我等でお悩みの方はご相談ください!!
当整骨院は肩こり、腰痛、首痛などの慢性的なお体のお悩みや、スポーツやプライベートでの怪我の骨折、脱臼、捻挫、打撲、挫傷(肉離れ)にも対応しています。
スポーツパフォーマンスの向上のための施術や怪我予防も行っています。
猫背、巻き肩、胸椎後弯、反り腰などの姿勢改善も行ったり、女性の骨盤の出っ張りなどの体型修正も行っています。
また、産前産後の整体を行う資格も持っており産前産後専門院でもあるので、産前産後のお体のお悩みのある方もお気軽相談してください!
エステメニューもあり、筋肉・脂肪を柔らかくし、脂肪燃焼を行ったり、小顔矯正やリフトアップもおこないます!
プロラボ商品もあり院内で購入できます!
お体のお悩みがある方はご相談、お問い合わせください!
髙山整骨院
東京都大田区東糀谷3-3-17 グランシャリオ羽田1階
平日8:30~12:00 15:00~19:30
土曜日8:30~15:00
定休日 日・祝日
*日曜日や祝日に営業する場合はGoogleにて更新をしていますのでご確認ください!
*時間外の施術はお電話にて予約していただけると幸いです。
----------------------------------------------------------------------
髙山整骨院
〒144-0033
東京都大田区東糀谷3-3-17 グランシャリオ羽田102
電話番号 : 03-6423-7996
FAX番号 : 03-6423-7996
大田区での怪我に専門的に対応
スポーツへの復帰を大田区で支援
丁寧なマッサージを大田区で
----------------------------------------------------------------------


