バスケットボールのプレー中に手を衝いて怪我した学生の初回対応と施術 大鳥居にある整骨院
2026/04/08
こんにちは、大田区東糀谷の大鳥居駅東口より徒歩2分の場所にある髙山整骨院の髙山です。
今回はバスケットボールの試合のプレー中に転んで手を怪我した学生の初回対応と施術を紹介していきます。
今回のポイントとしては外見上の症状や痛み方など見逃す可能性の高い症例になっているので何を気をつけて診ていったのかも書いていきます!
小学5年生男子、バスケットボールの試合のプレー中に相手選手と接触した際に転倒して右手を衝いて負傷。
その後右手の痛みでプレーを中断し、翌日当整骨院に来院されました。
右手の外見は皮下出血は無く、腫脹がよく見るとあります。
これも左右差で比較していくと分かります。
痛みのある部位は母指側の橈側がざっくり痛いとのことで手関節の橈屈や尺屈動作時痛、母指の屈曲も痛みがあるとのこと。
圧痛は舟状骨の近位を押すとかなり痛がり、その他の部位は大丈夫とのこと。
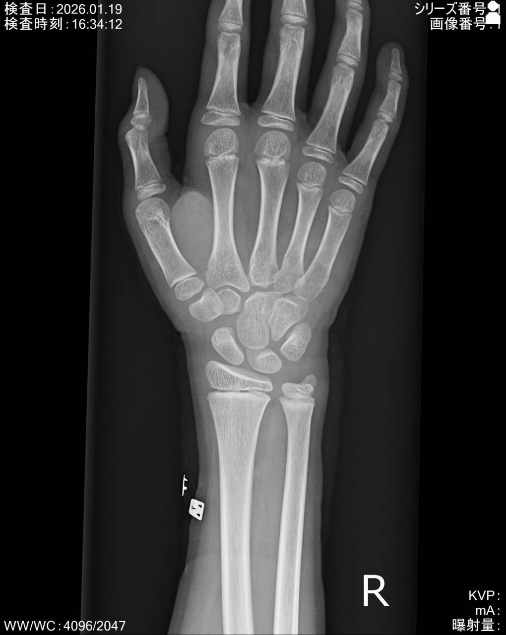
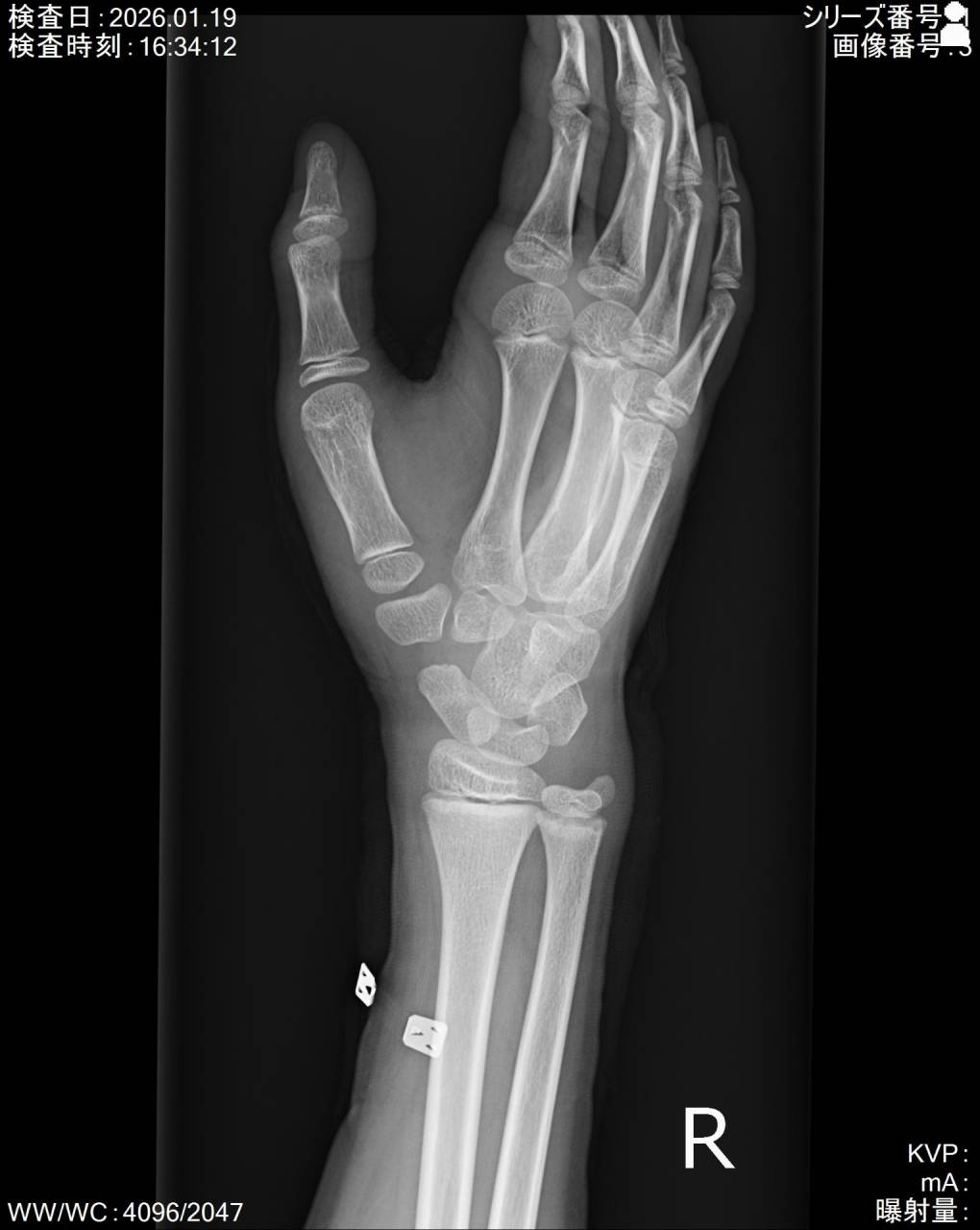
骨折の疑いもあったので超音波観察装置(エコー)にて確認を行っていきました。
見ると舟状骨に骨折線があり骨折の疑いがあったので当整骨院が提携している病院にてレントゲン検査を依頼しました。
撮影した画像を確認すると舟状骨近位部に骨折がありました。
この部位は血管の走行から癒合しづらい部位でもあるので慎重に進めていかなければいけません。
癒合しづらい要因として血管の走行があります。
骨を修復するのに重要な栄養血管の血流が悪い部位なので、偽関節や無腐性壊死を引き起こす恐れがあるので注意が必要です。
初期はキャストにて固定を行っていきますが、範囲は前腕中央~4指はMP関節手前、母指はIP関節手前まで固定していきます。
微弱電流にて骨の組織修復を優先的に行っていきます。
外見上は派手に症状が出現していなかったり、痛みも手を特有の肢位にして圧痛を検査しないと出現しないことから発見されないケースがあり後々酷くなったケースもあるので初期の見極めは重要と考えます。
お怪我でお困りの方はぜひご相談ください!
当整骨院は肩こり、腰痛、首痛などの慢性的なお体のお悩みや、スポーツやプライベートでの怪我の骨折、脱臼、捻挫、打撲、挫傷(肉離れ)にも対応しています。
スポーツパフォーマンスの向上のための施術や怪我予防も行っています。
猫背、巻き肩、胸椎後弯、反り腰などの姿勢改善も行ったり、女性の骨盤の出っ張りなどの体型修正も行っています。
また、産前産後の整体を行う資格も持っており産前産後専門院でもあるので、産前産後のお体のお悩みのある方もお気軽相談してください!
エステメニューもあり、筋肉・脂肪を柔らかくし、脂肪燃焼を行ったり、小顔矯正やリフトアップもおこないます!
プロラボ商品もあり院内で購入できます!
お体のお悩みがある方はご相談、お問い合わせください!
髙山整骨院
東京都大田区東糀谷3-3-17 グランシャリオ羽田1階
平日8:30~12:00 15:00~19:30
土曜日8:30~15:00
定休日 日・祝日
*日曜日や祝日に営業する場合はGoogleにて更新をしていますのでご確認ください!
*時間外の施術はお電話にて予約していただけると幸いです。
----------------------------------------------------------------------
髙山整骨院
〒144-0033
東京都大田区東糀谷3-3-17 グランシャリオ羽田102
電話番号 : 03-6423-7996
FAX番号 : 03-6423-7996
大田区での怪我に専門的に対応
スポーツへの復帰を大田区で支援
丁寧なマッサージを大田区で
----------------------------------------------------------------------


