自宅で転び怪我した方の初回対応と施術 大鳥居にある整骨院
2025/09/10
こんにちは、大田区東糀谷の大鳥居駅東口より徒歩2分の場所にある髙山整骨院の髙山です。
今回は自宅で転び怪我した方の初回対応と施術を紹介していきます。
60代女性、自宅でカーテンの交換を行っていて、椅子から落ちた際に左足趾を痛めたとのこと。
その際に尻もちをついたりと複数痛い場所があり、右第1足趾が最初痛かったとのことで痛みが引くのを我慢していたとのこと。
1週間が経過して左足趾の腫れが引かないのと痛みがあったので当整骨院に来院されました。
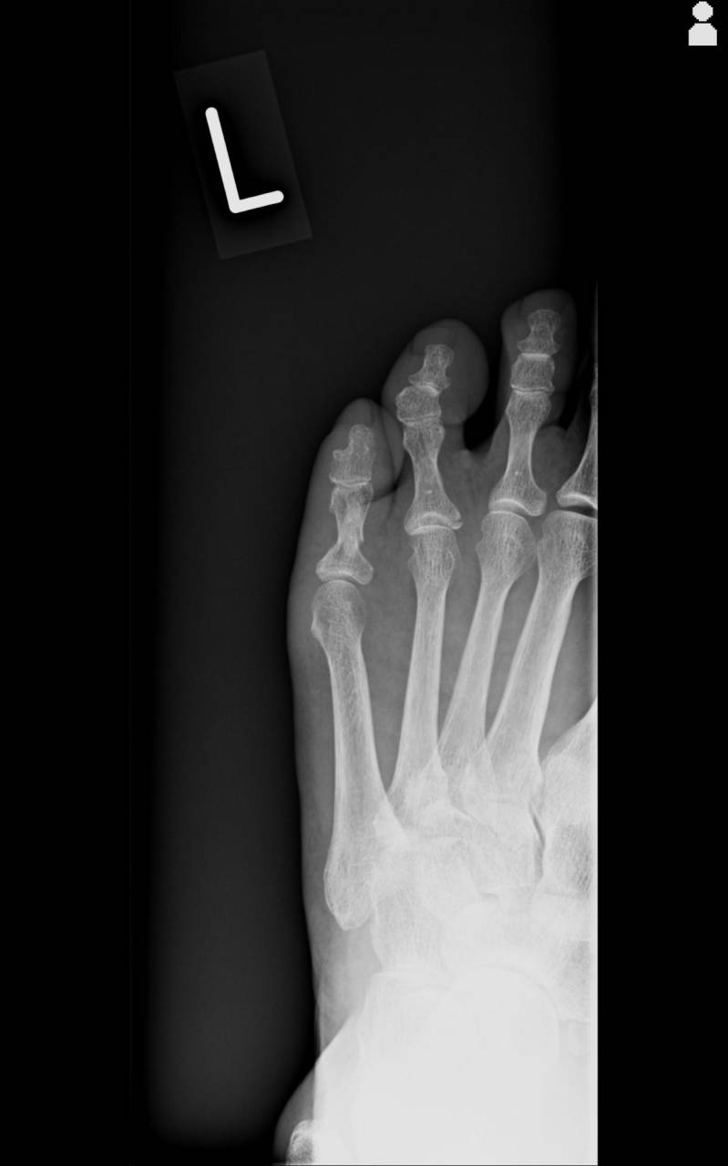
来院時は軽度の跛行をしていて、外見上は左第5趾に腫脹と皮下出血があり、第4趾周辺も腫脹がありました。
皮下出血は分解していて青くもなっていますが黄色っぽくなっている部分が多かったです。
触診を行っていくと左第5趾基節骨骨幹部に圧痛があり若干の変形があることから骨折が濃厚です。
超音波観察装置(エコー)で組織の状態を確認していくと、第5趾基節骨骨幹部に骨の不連続性があり、骨折の疑いがさらに濃厚になりました。
当整骨院が提携している病院にてレントゲン検査を依頼し、撮影した画像を確認すると左第5趾基節骨骨幹部骨折と左第4趾基節骨基部骨折があり、骨折として施術を進めていきます。
施術は左第5趾の骨折部の変形があったため整復を行い、その後キャスト(ギプス)にて牽引固定を行いました。
第4趾は下にキャストがあるので安定します。
その上から微弱電流にて骨の組織修復を行います。
早期にキャストを外せるように施術を進めていき、最初は転位に気を付けながら施術をしていきます。
小趾の骨折の場合歩けるケースがほとんどで骨が折れていると思う方が少ないので改めて注意しなければいけません。
お怪我でお困りの方はぜひ相談ください!
当整骨院は肩こり、腰痛、首痛などの慢性的なお体のお悩みや、スポーツやプライベートでの怪我の骨折、脱臼、捻挫、打撲、挫傷(肉離れ)にも対応しています。
スポーツパフォーマンスの向上のための施術や怪我予防も行っています。
猫背、巻き肩、胸椎後弯、反り腰などの姿勢改善も行ったり、女性の骨盤の出っ張りなどの体型修正も行っています。
また、産前産後の整体を行う資格も持っており産前産後専門院でもあるので、産前産後のお体のお悩みのある方もお気軽相談してください!
エステメニューもあり、筋肉・脂肪を柔らかくし、脂肪燃焼を行ったり、小顔矯正やリフトアップもおこないます!
プロラボ商品もあり院内で購入できます!
お体のお悩みがある方はご相談、お問い合わせください!
髙山整骨院
東京都大田区東糀谷3-3-17 グランシャリオ羽田1階
平日8:30~12:00 15:00~19:30
土曜日8:30~15:00
定休日 日・祝日
*日曜日や祝日に営業する場合はGoogleにて更新をしていますのでご確認ください!
*時間外の施術はお電話にて予約していただけると幸いです。
----------------------------------------------------------------------
髙山整骨院
〒144-0033
東京都大田区東糀谷3-3-17 グランシャリオ羽田102
電話番号 : 03-6423-7996
FAX番号 : 03-6423-7996
大田区での怪我に専門的に対応
スポーツへの復帰を大田区で支援
丁寧なマッサージを大田区で
----------------------------------------------------------------------


