家の廊下の段差に足をぶつけて怪我した方の初回対応と施術 大鳥居にある整骨院
2025/07/09
こんにちは、大田区東糀谷の大鳥居駅東口より徒歩2分の場所にある髙山整骨院の髙山です。
今回は家の廊下の段差に足をぶつけて怪我し、受傷直後に来院した方の施術を紹介していきます。
50代女性、左足趾を段差にぶつけて負傷し、痛みと腫脹(腫れ)があり来院されました。
外見上で左第3趾が屈曲・外転変形していました。
時間の経過(翌日から)皮下出血も出現していて骨折の疑いが濃厚になりました。
触診を行っていくと、左第3趾基節骨骨頭にあり、超音波観察装置(エコー)で確認した際も骨折線があり骨折が濃厚でした。
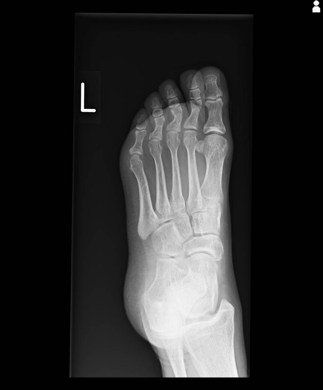
当整骨院が提携している病院にてレントゲン検査を依頼し、撮影した画像を確認すると左第3趾基節骨骨頭骨折が確認できました。
レントゲン画像上も変形していることが分かったため、整復操作を行いキャスト(ギプス)等で転位しないように固定を行い、固定下で微弱電流にて骨の組織修復を行いました。
整復を行い転位しないように施術を行うことで、転位も起こさず、皮下出血や腫脹も順調に引いていきました。
正しく処置をすることで症状経過も良好な状態で進んでいきます。
お怪我でお困りの方はぜひご相談を!!
当整骨院は肩こり、腰痛、首痛などの慢性的なお体のお悩みや、スポーツやプライベートでの怪我の骨折、脱臼、捻挫、打撲、挫傷(肉離れ)にも対応しています。
スポーツパフォーマンスの向上のための施術や怪我予防も行っています。
猫背、巻き肩、胸椎後弯、反り腰などの姿勢改善も行ったり、女性の骨盤の出っ張りなどの体型修正も行っています。
また、産前産後の整体を行う資格も持っており産前産後専門院でもあるので、産前産後のお体のお悩みのある方もお気軽相談してください!
エステメニューもあり、筋肉・脂肪を柔らかくし、脂肪燃焼を行ったり、小顔矯正やリフトアップもおこないます!
プロラボ商品もあり院内で購入できます!
お体のお悩みがある方はご相談、お問い合わせください!
髙山整骨院
東京都大田区東糀谷3-3-17 グランシャリオ羽田1階
平日8:30~12:00 15:00~19:30
土曜日8:30~15:00
定休日 日・祝日
*日曜日や祝日に営業する場合はGoogleにて更新をしていますのでご確認ください!
*時間外の施術はお電話にて予約していただけると幸いです。
----------------------------------------------------------------------
髙山整骨院
〒144-0033
東京都大田区東糀谷3-3-17 グランシャリオ羽田102
電話番号 : 03-6423-7996
FAX番号 : 03-6423-7996
大田区での怪我に専門的に対応
スポーツへの復帰を大田区で支援
丁寧なマッサージを大田区で
----------------------------------------------------------------------


