足関節周囲の骨折をした方の初回対応と施術 大鳥居にある整骨院
2025/05/14
こんにちは、大田区東糀谷の大鳥居駅東口より徒歩2分の場所にある髙山整骨院の髙山です。
今回はゴルフのプレー中に足を捻り怪我した方の症例を紹介していきます。
この方はセカンドオピニオンで当整骨院に来院しました。
40代女性、ゴルフのプレー中に歩いていて右足を捻り怪我をしたとのこと。
翌日に自宅近所の整形外科に行きレントゲン検査等で診てもらったとのこと。
判定は捻挫と言われたとのことで、「1週間しても痛みが引かなかったら別の原因がある」と言われ、5日程生活していて痛みがまったく引かないとのことで当整骨院に来院されました。
若干の跛行をしながら歩いていて、痛いのをかばいながら歩いているから他の部位も痛みがあるとのことです。
検査を行っていくと、右足外観は腫脹が足関節周囲、足の甲にあり、皮下出血は薄く出ている状態でした。
右足関節の関節可動域を診ていくと健側の左と比較すると底屈は-10度、背屈は-15度で足関節の可動域に制限がある状態で、その後検査を行っていくと距骨の亜脱臼があり、足関節の可動域制限と特有の腫脹が出ていると判定しました。
圧痛を確認していくと、右腓骨部(腓骨遠位)と二分靭帯の部分特に立方骨側にあり、腫脹が強く出ている部分と一致します。
足部内側は圧痛はありませんでした。
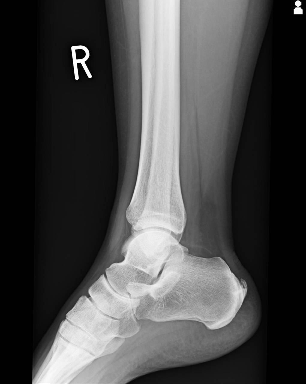
超音波観察装置(エコー)にて画像検査を行っていくと、圧痛があった腓骨、立方骨に骨折の徴候が診られたので、当整骨院が提携している病院にてレントゲン検査の依頼をしました。
撮影したレントゲン画像を確認していくと、エコーで検査して骨折が怪しかった部位と同じ部位に骨折が判明し、骨折として施術を進めていきます。
施術は距骨の亜脱臼があるので、まずは距骨の整復を行い、その後OWTにて組織回復を早めていきながら進めていきます。
固定はキャスト(ギプス)固定を行い、固定範囲は下腿中央から足趾MP関節手前まで行いました。
固定は経過を観察しながら早めに軽い素材に変更していきます。
当整骨院をご利用する怪我をした方でセカンド・サードオピニオンとして来院した方から多くの方から質問で、最初に行った整形外科や整骨院で「何で同じ検査(レントゲン検査)で同じ画像を見ているのに骨折が判明しなかったんですか?」という質問を頂きます。
答えとしては
整骨院の場合だと検査(徒手検査やエコー等の画像検査)を行う技術、設備を持ち合わせていないパターンが多い。
これは経験的に怪我(骨折、脱臼、捻挫、打撲、肉離れなど)をそもそも診ていないために判定できないというパターンが多いです。
例えば今自分で院をやっている先生でも整骨院や接骨院、整形外科や整体などの勤めていた時に怪我を診て経験してなければ判定もできないし、治し方も分からないというのが普通かなと考えます。
整形外科で分からなかった場合には、例えば同じ絵を観てもその絵に対する見方が違うように、見逃していたりしてるパターンが多いと考えます。
上記のような質問に対してはこのように患者さんに対して説明をすると納得される方が多いです。
当整骨院はケガに対しての判定や対応含め適確に行えるような環境になっていますので、お怪我でお困りの方はお越しください!!
当整骨院は肩こり、腰痛、首痛などの慢性的なお体のお悩みや、スポーツやプライベートでの怪我の骨折、脱臼、捻挫、打撲、挫傷(肉離れ)にも対応しています。
スポーツパフォーマンスの向上のための施術や怪我予防も行っています。
猫背、巻き肩、胸椎後弯、反り腰などの姿勢改善も行ったり、女性の骨盤の出っ張りなどの体型修正も行っています。
また、産前産後の整体を行う資格も持っており産前産後専門院でもあるので、産前産後のお体のお悩みのある方もお気軽相談してください!
エステメニューもあり、筋肉・脂肪を柔らかくし、脂肪燃焼を行ったり、小顔矯正やリフトアップもおこないます!
プロラボ商品もあり院内で購入できます!
お体のお悩みがある方はご相談、お問い合わせください!
髙山整骨院
東京都大田区東糀谷3-3-17 グランシャリオ羽田1階
平日8:30~12:00 15:00~19:30
土曜日8:30~15:00
定休日 日・祝日
*日曜日や祝日に営業する場合はGoogleにて更新をしていますのでご確認ください!
*時間外の施術はお電話にて予約していただけると幸いです。
----------------------------------------------------------------------
髙山整骨院
〒144-0033
東京都大田区東糀谷3-3-17 グランシャリオ羽田102
電話番号 : 03-6423-7996
FAX番号 : 03-6423-7996
大田区での怪我に専門的に対応
スポーツへの復帰を大田区で支援
丁寧なマッサージを大田区で
----------------------------------------------------------------------


