バスケットボールの練習中に指の怪我をした学生の初回対応と施術 大鳥居にある整骨院
2025/04/16
こんにちは、大田区東糀谷の大鳥居駅東口より徒歩2分の場所にある髙山整骨院の髙山です。
今回はバスケットボールの練習中に指の怪我をした学生の初回対応と施術を紹介していきます。
中学2年生男子、バスケットボールの練習中にパスカットをしようとして左手第5指がはじかれ負傷し、その後テーピングを巻いてプレーをやり、翌日も痛みはあったがテーピングを巻いてプレーをしたとのこと。
しかし、2日後手の腫れと皮下出血が酷く、当整骨院に来院されました。
外見は左第5指の腫脹がかなりあり、手の甲まで腫れがあり、皮下出血も満遍なく出ている状態でした。
第5指の屈曲は不可で、痛みがかなりある状況です。
触診を行うと腫れがある部位は痛がり、特に圧痛が強かったのが第5指基節骨で、他の部位も痛がりますがこの部位が1番痛がります。
骨折の可能性が強いので超音波観察装置(エコー)にて確認を行います。
第5指基節骨に骨折線が確認できたので、当整骨院が提携させてもらってる病院にてレントゲン検査の依頼をし撮影してもらいました。
撮影した画像を確認すると、左第5指基節骨斜骨折で病院の先生も手術適応になるものとのことで、大怪我です。
今回の症例は基節骨が斜めに折れていて、背側・外側・短縮転位をしているため整復を行う必要があると同時に固定で転位しないようにしなくてはいけません。
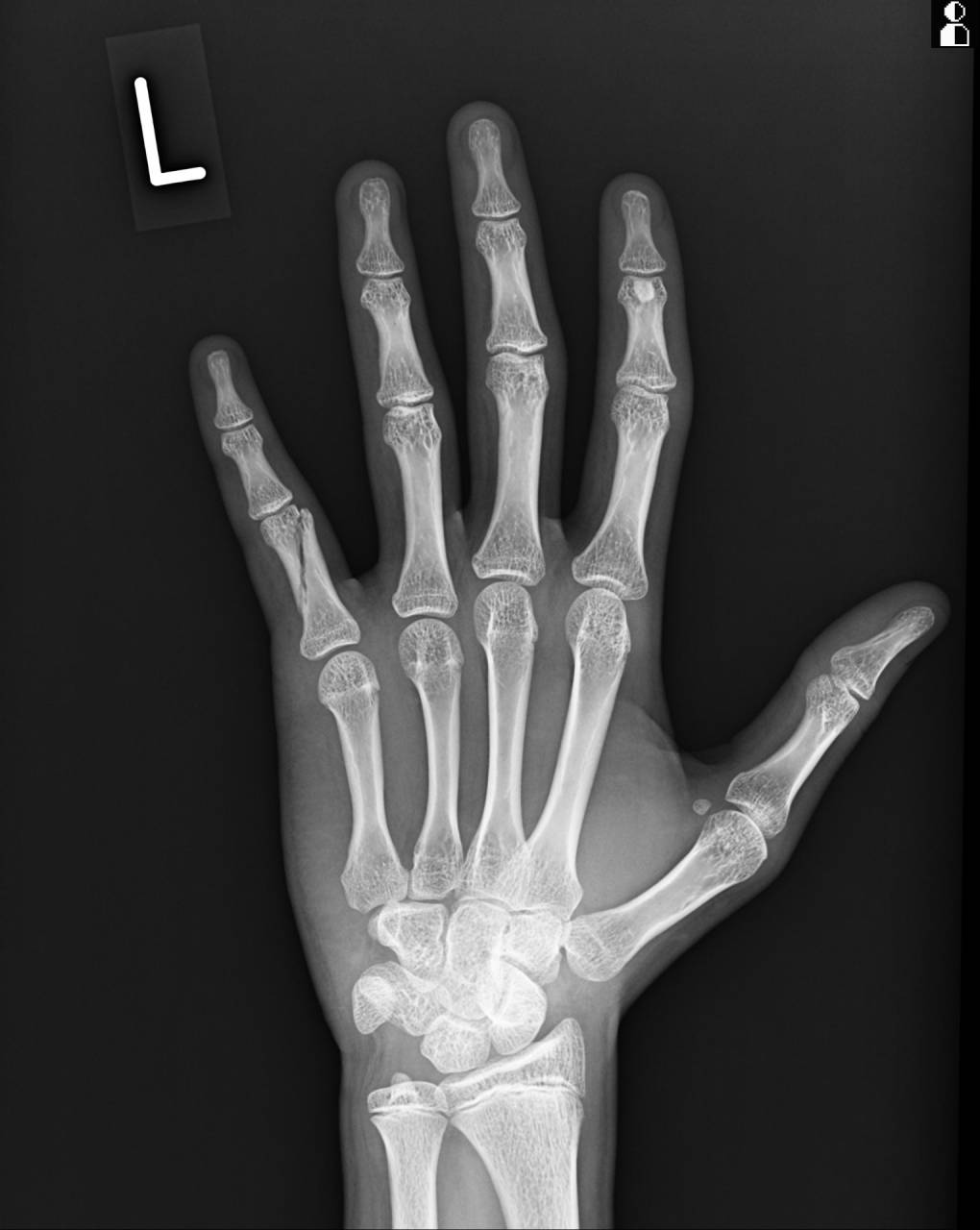
さらに正しく整復・固定を行わないと、骨が修復し、いざ指を曲げようとした時に指同士が重なってしまったり、屈曲に支障が出てくる可能性があるので気をつけてやらねばいけません。
レントゲン画像とエコーを使いながら整復を行います。
整復後に指の状態を確認していき、そのまま整復したものがズレないように固定を行います。
背側・外側・短縮転位していたものを再転位しないように固定を行います。
固定はアルミシーネ、厚紙副子、輪ゴムなどの材料を使って固定します。
経過を良好で初期は転位しないように気をつけ、その後は屈曲拘縮を起こすのでリハビリをしっかり行います。
当整骨院は肩こり、腰痛、首痛などの慢性的なお体のお悩みや、スポーツやプライベートでの怪我の骨折、脱臼、捻挫、打撲、挫傷(肉離れ)にも対応しています。
スポーツパフォーマンスの向上のための施術や怪我予防も行っています。
猫背、巻き肩、胸椎後弯、反り腰などの姿勢改善も行ったり、女性の骨盤の出っ張りなどの体型修正も行っています。
また、産前産後の整体を行う資格も持っており産前産後専門院でもあるので、産前産後のお体のお悩みのある方もお気軽相談してください!
エステメニューもあり、筋肉・脂肪を柔らかくし、脂肪燃焼を行ったり、小顔矯正やリフトアップもおこないます!
プロラボ商品もあり院内で購入できます!
お体のお悩みがある方はご相談、お問い合わせください!
髙山整骨院
東京都大田区東糀谷3-3-17 グランシャリオ羽田1階
平日8:30~12:00 15:00~19:30
土曜日8:30~15:00
定休日 日・祝日
*日曜日や祝日に営業する場合はGoogleにて更新をしていますのでご確認ください!
*時間外の施術はお電話にて予約していただけると幸いです。
----------------------------------------------------------------------
髙山整骨院
〒144-0033
東京都大田区東糀谷3-3-17 グランシャリオ羽田102
電話番号 : 03-6423-7996
FAX番号 : 03-6423-7996
大田区での怪我に専門的に対応
スポーツへの復帰を大田区で支援
丁寧なマッサージを大田区で
----------------------------------------------------------------------


